What is Orthopaedic Oncology ?
Oncology is the science that deals with tumors. Orthopedic oncology deals with orthopedic tumors. So what does this mean? Orthopedic oncology deals with tumors in the parts of our body that we call 'extremities' such as arms and legs, joints such as ankles, knees, hips, elbows, shoulders, and some parts of the spine.
The concept of tumor is generally perceived as cancer among the people. However, this is not quite true. Medically, any swelling that occurs in the body is actually called a tumor. This includes malignant, as well as benign tumors. In orthopedic oncology, malignant tumors are called "sarcoma", not cancer. Cancers are malignant tumors of internal organs such as lung, stomach, prostate. Orthopedic oncology deals with the diagnosis and treatment of sarcomas. A sarcoma can originate from the bone, as well as from our muscles, fat tissue, veins and nerves. The first is called 'bone sarcoma', while the others are called 'soft tissue sarcoma'. Internal organ cancers can sometimes spread to the bones and are called "metastases". Metastases are extremely painful formations that often appear within a few months. The intensity of the pain increases. Orthopedic oncology also deals with metastasis treatment.
There are also subgroups of bone sarcomas. Some of these are observed more frequently in children and young people, while others are observed in older ages. Their treatments are also different. For example, in osteosarcoma, before the operation, the patient is treated with the drug we call "chemotherapy" for a while, followed by the operation and then chemotherapy is applied again. However, in the case of Ewing's sarcoma, radiotherapy may be included in the treatment alongside chemotherapy. In the treatment of chondrosarcoma, which we encounter more frequently in older ages, the only weapon we have is surgery most of the time.
Pic 3
Pic 4
Sarcoma surgeries are extremely difficult and must be carefully planned. The technique used for this purpose is generally "wide resection". What is meant to be said here; It is the large removal of tumor tissue leaving a healthy tissue around it (pic-3). If the tissue with sarcoma is worked very close to or penetrated into the tissue during the surgery, the malignant tissue will grow again and rapidly, making the next treatment very difficult, sometimes even impossible (image-4). This is a very serious condition and can cost the patient's life.
Pic 5
Pic 6
Pic 7
Benign bone tumors are mostly bone cysts, some tumors of cartilage origin or some lesions such as giant cell bone tumors. Cysts can be simple or complex. Simple bone cysts are more common in children. Although the most common area is around the shoulder, it can occur in any bone (picture-5). In the treatment of simple bone cyst, surgery is required in some cases, and sometimes non-surgical treatment can be applied. For this, the patient is injected into the cyst under operating room conditions and it may be necessary to repeat this several times (pic-6). What is meant by complex cyst is “aneurysmal” bone cyst. The treatment for this is only surgical, and after the cyst is cleaned, it should be treated with a number of special substances. The resulting cavity is filled with bone cement or bone powders (pic-7). Aneurysmal bone cyst is a more aggressive lesion than simple bone cyst and sometimes it can completely remove the bone. There is also a higher chance of recurrence.
Tumors of cartilage origin can also develop inside the bone. Some of these are minor and require no treatment but follow-up. Others become larger and need to be treated with surgery. Enchondromas are bone tumors of cartilage origin. In other words, they are cartilage-like tumors that develop inside the bone.
Pic 8
Pic 9
There is also a low probability of malignant transformation. They can cause blunt pain from time to time. In this case, they must be surgically removed. Enchondromas are also the most common tumors of the hand bones. The patient may not be aware of this most of the time. It can develop inside the bone and make the bone walls, which we call the 'cortex', extremely thin. In this case, even with a very simple trauma, a fracture may occur in the bone. Sometimes there may be recovery without surgery, and sometimes there is an indication for surgery.
Pic 10
Pic 11
Pic 12
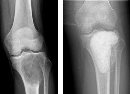
Giant cell bone tumor is also more common in young people. Although this type of tumor is mostly seen in the knee, it occurs in all parts of the body, especially in the joint areas (picture-10). It is usually in the form of blunt pain felt in the last few months. It can only be treated with surgery. The tumor is completely removed from the bone and the cavity is filled with bone cement or bone powders (pic-11). If the removal of the tumor is not done completely, recurrence is inevitable.
Osteoid osteomas are small lesions that are located inside the bone and do not exceed 1 cm. Although they are very small, they can cause severe pain. The pain is especially worse at night. Because the tumor is so small, it may be overlooked in radiological evaluation. Therefore, the evaluation should be done very carefully in order to make the diagnosis (pic-12). This tumor is also more common in children or young people. While surgical methods were used in the treatment, nowadays, non-surgical methods have been adopted with closed methods such as radiofrequency.
Pic 13
Pic 14
Osteochondromas are hard bony protrusions that grow from the edge of the bone into the muscle around the joints, mostly around the knee. These are usually noticed in childhood and grow with the child (pic-13). However, most of the time, it does not require surgery and observation is sufficient. Sometimes it shows serious growth and is very noticeable when viewed from the outside, and this can cause cosmetic problems. Or, this bony prominence may break with a simple trauma and cause severe pain. Sometimes it can grow to put pressure on the vein or nerve. In these cases, it should be surgically removed (pic-14).
Pic 15
Pic 16
Pic 17
A benign tumor that can develop from the wall of the bone is a "fibrous cortical defect". Rarely, it can cause pain or weaken the wall of the bone. Most of the time, it is detected incidentally in an X-ray taken for another reason (pic-15). It does not require surgery to a large extent and shows spontaneous recovery. However, if it has grown too large and has affected most of the bone, it must be surgically removed. Otherwise, a fracture situation may develop due to excessive weakening of the bone, which we call “pathological fracture” (pic-16). It is possible to say similar things about “non-ossifying fibroma” (pic-17).
Pathological fractures can develop on the basis of any bone tumor. It occurs due to excessive weakening of the bone walls due to the tumor. If it occurs in bone sarcomas, treatment becomes very difficult. Because in this case, malignant tumor cells spread in all directions and the event becomes much more complex. The same situation can be observed in benign bone tumors. In this case, the treatment will become more complex.
Causes and Prevention
Tumors that fall under the field of orthopedic oncology do not originate only from bones. It can also originate from soft tissue elements such as muscle, vein, adipose tissue, nerve and joint. For example, it may be in the form of masses that can be seen or felt by touch in the arms and legs or other parts of the body, or it may be in the form of deep-seated soft tissue-based lesions that cannot be felt from the outside. In the presence of such lesions, biopsy is essential, as in bone tumors. In this way, the correct diagnosis can be made. Treatment should never be started without making the correct diagnosis.
Pic 18
Pic 19
Soft tissue tumors can be benign or malignant, as in bone tumors. Malignant ones are called "sarcoma", as in bone tumors. But this is soft tissue sarcoma. Treatment of soft tissue sarcomas is often surgical and requires extensive resection. In the surgery, a wide resection is performed and the tumor is removed widely together with the healthy tissue around it (pic-18).
Sometimes a sarcoma can be very close to vascular or nerve structures. Sometimes such important structures can even pass through the tumor. In this case, these structures are sacrificed by cutting and removed together with the tumor. These patients will also need to have a vein or nerve transplant in the same session. If tumor tissue remains during this operation, recurrence is inevitable. Surgery will be even more difficult.
The treatment of benign soft tissue tumors is generally simpler. Their treatment is also surgery. However, if the mass is small, or if it has been present for many years and does not bother the patient, surgery may not be necessary. The same can be said for tumors called “hemangiomas” originating from vascular structures. Hemangiomas often do not require surgery. Follow-up is sufficient (pic-19).
Screening
Direct X-rays are very important in bone tumors. This method is cheap and simple. However, it gives serious information about the tumor. Two-way X-rays should definitely be taken (pic-26).
Computed tomography is especially meaningful for bone tumors such as osteoid osteoma (pic-27). Even alone, it can be diagnostic for this tumor. However, its use for other tumors is currently limited.
MRI, that is, magnetic resonance imaging, has a very important place in orthopedic oncology. MRI is particularly useful in demonstrating soft tissues. It is the most accepted method in bone tumors with soft tissue components and all kinds of soft tissue tumors. On the other hand, the shots must be done correctly. Otherwise, it is inevitable that the patient will have to undergo MRI several times. This means a waste of time. Especially in malignant bone tumors, MRI is of great importance so that the whole bone can be seen (pic-28). The patient should not be intervened until a sufficient quality MRI is taken. MRI must be taken with intravenous contrast material.
Pic 29
Pic 30
Bone scintigraphy is also a method that is used from time to time. Here, the bone content of the whole body is revealed. The purpose here is; It is to understand whether the mass has spread to other bones and to give an idea about whether the mass is benign or malignant (pic-29).
PET-CT, on the other hand, is a very advanced imaging method that is increasingly used today. It gives an idea about where there are masses in the body and whether they are good or bad (pic-30).
As a result, after the patient is evaluated and the necessary imaging methods are completed, a biopsy can be performed to make a definitive diagnosis and thus the correct treatment can be started.
BIOPSY
Pic 31
Biopsy is the basic approach in the diagnosis of tumor. The same is true for orthopedic oncology. A biopsy is actually a surgical procedure and should always be performed under sterile conditions. It is appropriate that the surgeon who will perform the actual operation performs the biopsy. A biopsy basically takes two forms: open or closed. Closed biopsy means needle biopsy. For this purpose, a special set of needles is used (pic-31). Needle biopsy is appropriate if there is a superficial soft tissue mass or if there is a bone tumor that extends beyond the bone into the soft tissue (such as osteosarcoma or Ewing's sarcoma). Needle biopsy can be performed even if there is a tumor that does not extend into the soft tissue but thins the bone wall (such as a giant cell bone tumor). However, their needles are different. If there is a deeply located mass or a tumor that is very close to important vessels or nerves, a needle biopsy can be performed by interventional radiology under ultrasound or computed tomography.
The person performing the needle biopsy and the pathologist who will evaluate it must be very experienced. Otherwise, appropriate material cannot be obtained and a suitable evaluation cannot be made. These procedures must be done correctly in order for the treatment to be carried out correctly.
If needle biopsy cannot be performed or results cannot be obtained, open biopsy is performed. Its surgery is also difficult and complex. However, it is a very effective method in terms of diagnosis.
Biopsy must be done after all imaging methods are finished. Otherwise, a wrong idea can be made about the extent and dimensions of the mass.
Sometimes the biopsy may not give results in one go and may need to be repeated.
Treatment
Pic 20
Pic 21
What is popularly called 'oil glands' are 'lipomas'. Lipomas originate from adipose tissue. It usually originates between subcutaneous adipose tissue and muscles (pic-20). It is in the form of soft, mobile, well-circumscribed masses that have been present for several years. However, it can sometimes turn into sarcoma by showing a malignant change. Its name is “liposarcoma” (picture-21). Lipomas sometimes occur in large numbers throughout the body. This is called "lipomatosis". Lipoma treatment is surgery. If it is in the form of lesions that are very large, disturbing the person, disrupting functions as a result of vascular or nerve pressure, they are removed by operation. If these are not presented, only routine follow-up may be sufficient.
Pic 22
Pic 23
Sometimes a benign soft tissue tumor may originate from the nerve. It can be in the form of a palpable mass in the arm or leg, or it can give symptoms such as numbness or tingling, depending on which nerve it originates from. For example, a patient with numbness in his hand and fingers may have such a tumor in one of the arm nerves. These tumors are “schwannoma” or “neurofibroma” (pic-22). Treatment of nerve tumors, if they are large and symptomatic, is surgical. During this procedure, the mass should be removed without damaging the nerve as much as possible. The malignant ones are called “malignant nerve sheath tumors” (pic-23). In the treatment of this, the nerve must be sacrificed by cutting. The tumor part of the nerve is excised and the gap is compensated by transplanting another nerve.
Pic 24
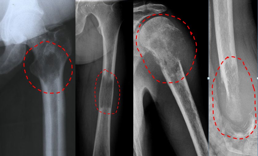
What we have described so far were lesions originating primarily from the bone or soft tissue itself. Metastases, on the other hand, are malignant cells separated from a cancerous tissue (eg lung cancer, breast cancer, kidney cancer or prostate cancer) in the body, coming to the bones through the blood and causing a mass there. Metastases are generally disorders of the middle-aged group. Here, the patient already knows that he has cancer to a large extent or is receiving cancer treatment. For example, hip, leg, shoulder, elbow or low back pain that has started recently in a patient known to have lung cancer suggests that metastasis has occurred in the foreground (image-24). Metastases are rapidly progressive malignant lesions. Treatment should be done quickly. Otherwise, severe bone pains will occur and eventually pathological fracture will be inevitable. In this case, treatment will become more difficult.
Pic 25
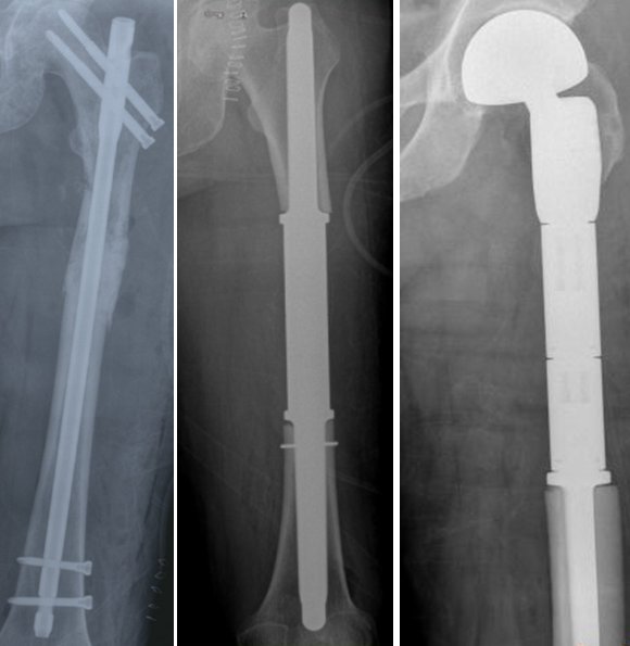
Radiotherapy or surgical treatment is at the forefront in the treatment of bone metastases. If the patient does not have a pathological fracture or a pathological fracture threat, radiotherapy alone may be sufficient. However, if a pathological fracture has developed or is about to develop (pathological fracture threat), surgery should be performed. The aim is to relieve the patient's pain and bring him back to life by regaining his daily activities as soon as possible. In the operation, the tumorous area is removed and the resulting bone defect is removed by using an implant (pic-25). Sometimes the patient's pain does not go away despite radiotherapy. In this case, surgery comes to the fore.
Current Literature
What Are The Signs of Tumors ?
Pic 32
For soft tissue tumors, there is visible swelling if the mass is close to the surface or very large. Benign ones usually do not have pain. Most of the time, they are in the form of masses that have been going on for years (pic-32). However, over time, sometimes a benign tumor can start to gain a bad character. In this case, pain may occur in the mass. Or, while there has been no growth in the mass for years, there may be a significant growth in the last months.
Pic 33
Malignant soft tissue masses, on the other hand, are usually in the form of a swelling that has become evident in the last few months in a normal area. It grows rapidly and can be painful at times. Such a lesion can sometimes show excessive growth (pic-33). It requires rapid action in terms of diagnosis and treatment. A malignant tumor is often in contact with or has taken over very important vessels or nerves in the arm or leg. This situation should be known when the surgery will be performed, the patient should be informed and the surgery should be performed with the appropriate team and equipment. The organization of all these should be done completely before the operation.
Pic 34
The symptoms of bone tumors are blunt pains, which are often at night, sometimes even very severe. In other words, a person whose knee or hip has been hurting for several months may have a bone tumor. Benign bone tumors often do not extend beyond the bone. Malignant ones, on the other hand, often exceed and extend to the soft tissue around the bone. In these patients, swelling will occur, as in soft tissue tumors (pic-34). In addition, the bone is very weakened in this region. If the patient continues to load, a fracture of the bone may also occur. This is a pathological fracture and makes treatment much more difficult. Sometimes it can even cause amputation.
Rarely, a mass can press on the main vessel or nervous system without being noticed. In these patients, circulatory disorders such as bruising in the arm or leg if there is pressure on the vein, and numbness in the case of pressure on the nerve may appear.
Reccomendations
Multidisciplinary Approach
The science of orthopedic oncology requires the orthopedist dealing with the subject to be in constant contact with many other fields in order to offer the patient with the malignant tumor the most benefit. This is the basis of the multidisciplinary approach. This is a team. In addition to the orthopedist dealing with oncology, this team basically includes pathologists, radiologist, radiation oncologist, medical oncologist, pediatric oncologist, sometimes thoracic surgeon, vascular surgeon, general surgeon and plastic surgeon. In addition, doctors in all these branches must be very experienced in orthopedic oncology. Here, the orthopedist makes the whole organization.
The best results can be obtained if the appropriate branches work together in the appropriate patient.
In order to get the best result, it is of great importance to listen to the patient for a sufficient time, to examine them, to evaluate their imaging very well and to have them consulted by the relevant departments as soon as possible.
The multidisciplinary approach is mostly used for malignant bone or soft tissue tumors. In benign tumors, the orthopedic oncologist can work alone. Here, too, sufficient experience is very important.
Summary
Orthopedic oncology is a very special field. It is of great importance that the physician who will work in this field is well-trained, has easy access to doctors in the relevant branches, and has sufficient experience in the field. Otherwise, it is impossible to do the treatment correctly. In this case, the patient sometimes loses his limb and sometimes unfortunately his life.
Language
Türkçe
English
Arabic
Germany
Russian